牙齿外伤是口腔常见急症之一。近日,阆中市人民医院口腔科接诊一例因意外导致牙齿部分脱位的患者,经规范应急处置,现已完成复位及固定治疗,患者牙齿恢复良好,咀嚼功能与外观得到有效维护。借此提醒大家:如遇牙齿外伤,请保持冷静,采取正确应急措施,并第一时间前往正规医疗机构就诊。

病情经过
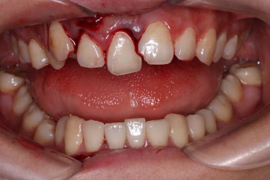
患者因意外碰撞致上前牙移位,伴有咬合疼痛与功能障碍,来院后急诊医生立即予以清洁处理、手法复位,并采用弹性纤维夹板进行固定,目前患牙恢复稳定。

什么是牙齿脱位?
牙齿脱位是指牙齿受外力作用后发生移位或完全脱出牙槽窝。完全脱位后30分钟至2小时内为再植的黄金时间。
牙齿脱位应急处理——牢记四步
找到牙齿:捏拿牙冠部位,避免触碰牙根;
清洁冲洗:使用生理盐水或牛奶轻冲,勿擦拭或刮牙根;
保持湿润:可立即放置回牙槽窝(意识清醒条件下),或存放于生理盐水、牛奶中,亦可含于舌下(谨防误吞);
立即就医:30分钟内就诊再植成功率最高。
专业治疗方式
复位后常需进行弹性固定(如纤维夹板),一般需固定2–4周,避免咬硬物,配合抗感染治疗,必要时择期复查并进一步处理。

石英纤维夹板,以粘接方式固定脱位牙与邻牙,颜色透明
后续注意事项
定期复查:术后需按医嘱复查,监测牙髓状态及愈合情况;
可能需根管治疗:部分患者后期可能出现牙髓坏死或根尖炎症,需相应治疗;
长期随访:追踪可能的牙根吸收或粘连等问题。
预防建议
运动时建议佩戴防护牙托;
避免用牙齿开启瓶盖或啃咬过硬物体;
儿童及青少年活动时需加强看护。
牙齿固定不仅是一项治疗技术,更涉及完整的术后管理和长期随访。成功救治的关键在于:及时规范的就医处置、符合生物原则的固定方式、细致的口腔维护以及定期专业复查。
扫一扫在手机打开当前页