食管癌是一种较常见的消化系统恶性肿瘤,阆中地区也是食管癌高发区,其主要治疗方法是手术为主的综合治疗。

食管癌内镜表现
食管术后狭窄是一种常见的并发症,通常会导致吞咽困难、反流、胸痛和体重减轻等症状,严重影响患者的生活质量。针对食管术后狭窄,有多种治疗方法可供选择:
1.内镜下直视或X线透视等设备引导下扩张治疗:这是食管良性狭窄的一线治疗方法,包括探条扩张术或球囊扩张术。通过机械张力撑裂狭窄处的黏膜肌层来达到扩张的效果。
2.内镜下切开术:对于难治性食管狭窄,内镜下采用针刀或IT刀对食管狭窄处多点进行放射状切开,可以显著缓解患者吞咽困难等症状。
3.局部注射激素:激素可以抑制炎症反应和胶原纤维的合成,促进胶原分解,降低术后狭窄的发生。这种方法可以在内镜下扩张或切开术后使用,以减少再狭窄的风险。
4.食管支架置入:对于良性狭窄,不推荐将食管支架置入作为一线治疗方法,因为可能引起胸痛、反流性食管炎、支架移位或脱落等并发症。但对于恶性狭窄或难治性狭窄,支架置入可以作为一种选择,以缓解症状。
5.药物治疗:例如局部应用丝裂霉素或激素(如曲安奈德)来预防瘢痕形成和减轻狭窄程度。
6.联合治疗:结合以上两种或超过两种的方法,如探条治疗联合氩气刀治疗,或高压氧联合激素治疗,可以提高疗效。
治疗选择应根据狭窄的性质(良性或恶性)、长度、位置以及患者的整体健康状况来决定。

食管术后吻合口狭窄
食管球囊扩张术是目前公认的治疗食管良性狭窄的主要方法之一,治疗吻合口狭窄效果良好。
什么是内镜下食管球囊扩张术?

球囊扩张示意图
食管球囊扩张术是在内镜直视或X线透视等设备引导下将球囊置于食管狭窄处,通过注水扩张球囊,使食管狭窄状况得以缓解的一种微创治疗方法。

扩张前

球囊扩张治疗中

扩张治疗后
食管扩张术简便易行,痛苦小,术后恢复快。部分患者需要反复扩张,扩张的频率和次数取决于狭窄的程度和长度。

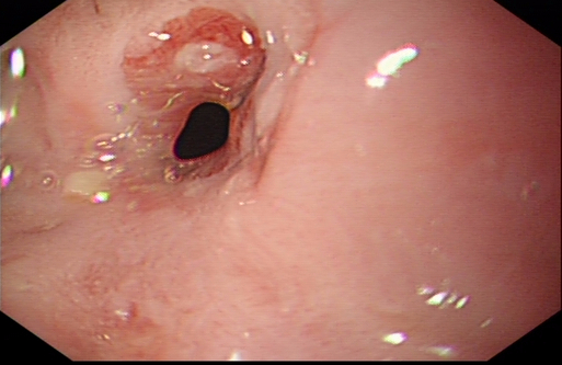
扩张前食管吻合口明显狭窄

X线透视下球囊扩张中
扩张后明显通畅
食管球囊扩张术适应症:
1.消化道术后吻合口狭窄者;
2.贲门失弛缓症;
3.消化道瘢痕性狭窄者;
4.先天性狭窄者。
食管球囊扩张术禁忌症:
1.伴有狭窄局部重度急性炎症的患者;
2.有瘘管和深部溃疡、狭窄部位有较大的憩室者;
3.有凝血功能障碍,严重心肺功能障碍,极度衰竭不能耐受的患者;
4.有未治愈的食管穿孔患者。
总结
食管术后吻合狭窄会使患者营养不良、贫血,严重时全身多脏器功能衰竭,影响患者的生存期及生活质量,必须进行积极干预治疗。
随着微创技术的发展,球囊扩张术广泛应用于吻合口狭窄的治疗,均取得较理想的效果。为手术后出现狭窄并发症的患者提供了一种创伤小、疗效好治疗方式,并且具有风险低、并发症少、住院时间短等优点。
阆中地区为食管及贲门肿瘤高发区,患者因肿瘤术后吻合口狭窄等多种原因常常导致进食困难从而加重病情,影响肿瘤的后续治疗。我院消化内科和介入医学科常规开展食管吻合口球囊扩张术、内镜下吻合口狭窄切开术、食管支架植入术、经鼻营养管植入术等解决或缓解患者进食梗阻症状,改善患者营养状况,提高生存质量,也为患者的后续治疗提供了保障。
来源:消化内科(龙思泽)
扫一扫在手机打开当前页