近日,阆中市人民医院神经外科团队通力协作,顺利完成两例“瘤卒中”患者的急诊救治工作。在团队成员的共同努力下,患者术后恢复良好,意识逐渐清醒,肢体功能得到保留,目前已转入专科接受后续治疗。此类病例的成功处理,体现了医院在脑血管急重症救治方面的综合能力。
“瘤卒中”是指颅内肿瘤继发出血导致的急性病情变化,起病急、进展快,对医疗团队的判断与处置效率提出较高要求。

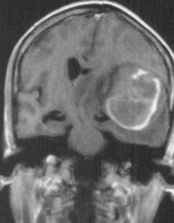
近期收治的两例患者中,一例为14岁青少年,因复发髓母细胞瘤合并出血入院,出血量约30ml;另一例为63岁长者,因突发意识障碍就医,CT提示颞枕叶出血量约70ml,伴有脑疝形成。神经外科团队在完善相关检查后,分别为两位患者开展急诊手术。术后患者意识状态逐步改善,神经功能恢复良好,复查影像学结果达到预期。

在患者术后恢复阶段,神经外科重症监护团队提供了系统化的监护与治疗,协助患者平稳度过术后关键期,为后续康复创造了良好条件。
此类患者的成功救治,依赖于医院多学科协作机制的有效运行,也反映了神经外科团队在急重症救治过程中的专业配合与流程衔接。
今后,阆中市人民医院将继续提升诊疗能力,完善救治流程,为患者提供更加优质的医疗服务,切实守护人民群众的健康权益。
扫一扫在手机打开当前页