近日,阆中市人民医院成功完成一例高难度神经导航辅助经鼻蝶内镜垂体瘤切除术。术后患者视力障碍及内分泌症状显著改善,标志着医院神经外科微创技术迈入精准化治疗新阶段。
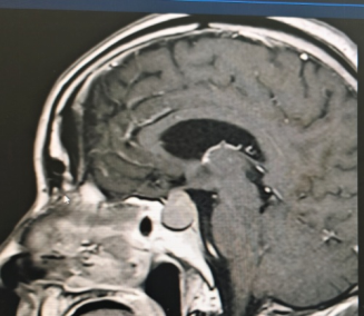
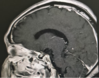
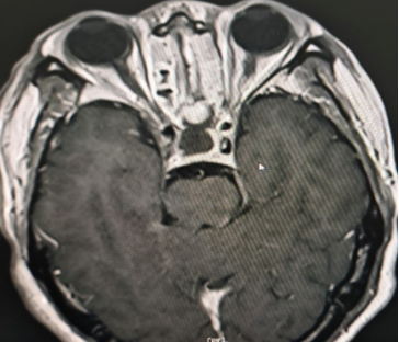
患者为69岁男性,因持续性头痛、视力下降伴双眼颞侧视野缺损前往阆中市人民医院神经外科就诊。经综合评估,结合内分泌检查及1.5T MRI动态增强扫描,确诊为垂体大腺瘤(2.0cm×1.7cm×1.7cm),肿瘤向上压迫视交叉,并伴有蝶窦气化不良。

针对该病例,垂体瘤多学科诊疗中心(MDT)多次组织讨论。鉴于传统开颅手术创伤大、恢复周期长,团队最终决定采用经鼻蝶内镜垂体瘤切除术。该微创技术通过鼻腔自然通道进入蝶鞍区切除肿瘤,具有创伤小、出血少、恢复快等优势。
手术过程中,团队在神经导航精准定位下,经鼻腔自然通道建立微创手术入路,完整切除肿瘤的同时最大限度保护正常组织结构,手术切口仅约2.0×1.5cm。术后患者恢复良好,无并发症发生,症状明显改善,目前已康复出院。

经鼻蝶内镜手术作为神经外科领域的标志性微创技术,对术者的解剖知识储备、内镜操作水平及团队协作能力要求极高。此次手术的成功实施,充分体现了阆中市人民医院神经外科在微创技术领域的的深厚技术积淀与成熟临床经验,也彰显了医院的综合实力。阆中市人民医院将继续坚持以患者为中心,持续引进先进技术与设备,为患者提供更高效、精准的医疗服务,切实保障人民群众的健康福祉。(神经外科)
扫一扫在手机打开当前页