2024年12月22日中午,84岁的罗大爷刚与家人吃完饭,突然出现肢体活动障碍,随后意识也出现障碍。家属立即呼叫120,将其送往阆中市人民医院。急诊进行头颅 CT检查,结果显示脑干出血并破入脑室,伴有梗阻性脑积水。患者随即通过绿色抢救通道被送入神经外科。值班医生杨学明副主任医师接诊后发现,患者脑干部位积血量并不多,无需进行手术治疗,但破入脑室的积血却引发了致命问题——阻塞了脑脊液的循环通路。脑室内每天会产生350-550ml的脑脊液,正常情况下,脑脊液会沿着自身的循环通路被吸收,而循环通路一旦堵塞,意味着每天产生的脑脊液会积聚在脑子里,娇嫩的脑组织根本容纳不下这么多液体。
针对这一情况,神经外科李想主任立即组织手术组医师开展病情讨论,并制定了具体治疗方案:立即施行三脑室底造瘘+侧脑室置管外引流术。在麻醉科团队的全力配合下,手术由杨学明副主任医师与张珩副主任医师联合主刀,不到 2小时便顺利完成。术后复查CT显示,患者的脑积水症状已消失,脑室原有的积血也已完全吸收不见。术后5天,顺利拔除侧脑室引流管;19天后,患者顺利出院进行康复锻炼,随访至今未再出现脑积水。

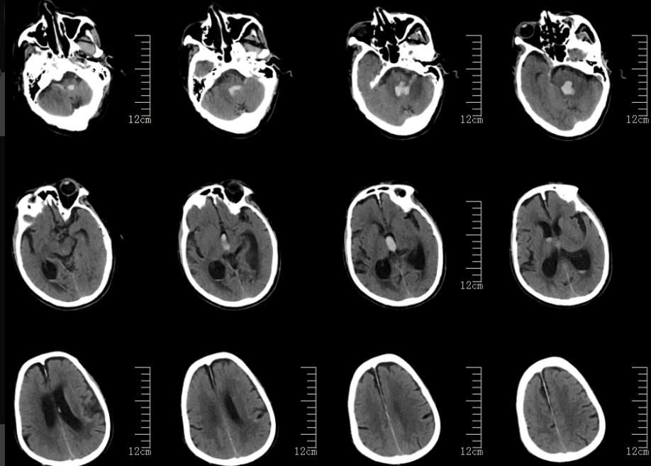
术前影像

术后影像
科普时刻
三脑室底造瘘术(Endoscopic Third Ventriculostomy,ETV)是一种用于治疗脑积水的微创手术。该手术通过在三脑室前部的底部制造一个瘘口,人工创建一条脑脊液循环通路,将三脑室内的脑脊液引向桥前池,从而改善脑积水症状。
手术原理及过程
在ETV手术中,医生通过在额顶部中线旁钻一个小骨孔,将脑室镜经过额叶皮层伸入脑室内,在脑室镜下造瘘打通三脑室底部。这样一来,因中脑导水管堵塞而梗阻在侧脑室、三脑室内的脑脊液便可被引向桥前池,进入蛛网膜下腔被吸收。
手术优势
ETV手术的优势在于避免了植入管道,更符合人体的生理结构。随着神经影像、光学技术、显微手术器械及立体定向神经导航系统的发展,ETV 手术的安全性和效果不断提高,使其成为一种安全且有效的治疗选择。
手术效果
ETV手术对于梗阻性脑积水的治疗效果尤为显著,尤其适用于6个月以上的婴幼儿及儿童。总体而言,内镜下治疗可以有效解决超过三分之二的儿童脑积水病例。然而,对于 6个月以内的婴儿,由于其脑脊液循环尚未发育成熟,造瘘手术的效果可能会受到影响。
手术风险
虽然ETV手术总体比较安全,但也可能发生一些并发症,如术中出血、心动过缓,或术后硬膜下积液、脑脊液漏等。手术死亡率非常低,在0至1%之间。
适应症和禁忌症
ETV手术主要适用于梗阻性脑积水患者,对于交通性脑积水患者,脑脊液吸收环节存在障碍,不是该手术的适应症。
总之,三脑室底造瘘术是一种有效的微创手术,通过创建脑脊液循环通路来治疗脑积水,具有较低的手术风险和良好的治疗效果。当然,在选择这种手术方法时,也需要综合考虑患者的具体情况,包括年龄和病因等因素。只有严格地把握手术指征,才能最大限度保障患者的安全。为人民群众的健康保驾护航,我们一直在路上。(神经外科)
扫一扫在手机打开当前页