近日,我院心内科顺利开展了房间隔封堵术并取得圆满成功,这也是阆中地区首例先心病介入手术。
患者为一40多岁的中年男性,最近一个月频繁出现胸闷、气短等情况,先后辗转多家医院就医,经过检查,明确诊断为“先天性心脏病 房间隔缺损(继发孔型)”,考虑到家人照顾和经济负担等多种因素,患者最终选择到我院进行治疗。
入院后,心内科杨军副主任带领的团队为该患者制定了周密的治疗方案,并确定采用介入手术的方式彻底封堵房间隔缺损。手术由杨军和冯维带领的介入团队历时1小时完成,术后及时送入心内科监护病房(CCU)进行严密的监护,经过规范的诊治和细心护理,2021年8月31日,患者顺利出院,合计住院仅四天时间。
此次手术的成功为我院打开了结构性心脏病介入治疗的新方向。我院将以此为契机,以精湛技术为基础, 以优质服务为载体,守护好阆中父老乡亲的健康。
联系方式:0817-6223819(七里院区)
0817-6232811(古城院区)

术前超声心动图

术后超声心动图
术中所见

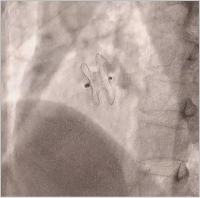
释放封堵器

术中测试

释放封堵器后
杨军医生介绍:房间隔缺损为临床上常见的先天性心脏畸形,约占所有先天性心脏病的10%,发病率在小儿先天性心脏病中排第二位,占成人先天性心脏病的20%~30%,是成年人中最常见的先天性心脏病,女性较男性多见,男女之比约1:3。房间隔缺由于心房水平存在分流,可引起相应的血流动力学异常。对于缺损不闭合的患者应进行相应手术治疗,辅以药物治疗。患者预后一般较好,但若未能及时治疗,可能会导致其他并发症出现,因此该类患者应提高认识,早发现、早治疗,预后较好。

房间隔缺损封堵术是一种常见的房间隔缺损介入手术方式,在局麻条件下通过股静脉穿刺将封堵器输送至心房,补贴固定在缺损处,从而阻断心房水平的血液分流,恢复正常血液循环的手术方法,是一种成熟的医疗技术。
扫一扫在手机打开当前页