为满足广大市民日益增长的医疗服务需求,阆中市人民医院坚持以百姓健康需求为导向,引进川东北首台西门子SOMATOM Drive256层量子双源CT,已于近日在医院放射科正式启用。它采用全球独创的双球管结构,具有扫描速度快,图像质量高,辐射剂量低等特点,临床应用领域广泛,在全身各部位的无创成像方面开创了高端CT应用的新纪元。此设备的投入使用,为需要做增强CT的肾衰竭患者及心脑血管联合扫描、早期肿瘤检测等患者带来福音,尤其在心脏冠脉成像方面具有无可比拟的优势,其操作便捷、安全无创和绿色环保引领着业内的标杆和典范,被称为窥心神器。标志着阆中市人民医院影像诊断技术步入了超精细化时代,对提升医学影像诊断水平具有重要意义。

SOMATOM Drive 量子双源CT是西门子全新的双源平台,它搭载了全新IGBT技术的Sigma球管、Stellar光子探测器和三域迭代重建等一系列革新技术,开辟了CT智慧影像链新时代。Drive CT具有快速、精准、安全的临床特点,对心脏冠脉检查、肿瘤筛查及随访、超低剂量体检、低对比剂应用和大范围血管检查等方面具有显著的优势。

一、成像时间更短
Drive双源CT的单扇区时间分辨率达到75ms,在最为复杂的心脏成像中对图像的“冻结”能力更强,真正实现了“无限制”心脏冠脉CT检查,两次吸气憋气就可以完成检查过程,图像也更加清晰。一次10秒左右的扫描即可获得整个躯干包括肺、心脏、血管及其他脏器在内的全部组织结构信息。

二、辐射更低
SOMATOM Drive CT可以实现一张胸片的辐射剂量下获得全肺的筛查CT图像,三张胸片的辐射剂量下完成冠脉CTA扫描。X线剂量较以往设备下降60%~80%,在获取高质量影像图片的同时,也保证了低剂量带来的CT检查安全。SOMATOM Drive CT行血管CTA检查(如冠状动脉、头颈部血管、全主动脉、下肢动脉CTA等检查),对比剂使用量仅为之前CTA检查的一半。

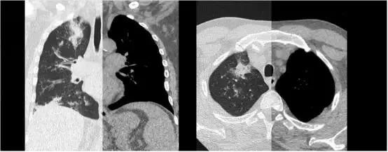
三、图像更清晰
搭载的Stellar Infinity光子探测器,能够清晰成像。搭配全新算法,软硬件结合使图像质量得到进一步提升。并且利用双能量扫描技术,去除体内金属植入物(脊柱金属固定器、动脉瘤夹闭器等)所造成的伪影,有助于更好地观察及评估术后固定器及周围软组织。

1秒内扫描全身+自由呼吸无禁忌成像

胸腹联合扫描
德国西门子SOMATOM Drive量子双源CT是当今世界上先进的CT设备之一。它能提供各项高端临床检查及图像后期处理,满足不同疾病诊断需求及健康体检。伯乐能识马,物方尽其用。此次超高端CT的引进,再为我院增添一件“神兵利器”,这台超高端CT必将发挥其最高性能,助力我院临床和科研能力进一步提升,更好地服务百姓。医院用心守护健康,为你保驾护航。
扫一扫在手机打开当前页