近日我院胸外科完成“阆苍南”首台单孔胸腔镜肺癌根治术。该手术的顺利开展,标志着我院胸外科微创技术再上一个新台阶。
只需一个“小切口” 解决肺部肿瘤
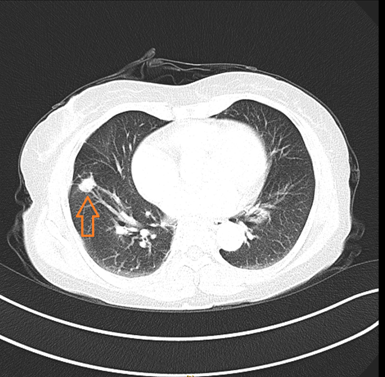
家住阆中的涂阿姨最近经常发生眩晕,为了解决眩晕的问题来到我院神经内科就诊,经过CT检查发现右肺下叶有一个直径约1.5厘米结节,经病理活检后考虑为“肺腺癌”。经胸外科会诊后认为“肺腺癌”诊断明确,且无手术禁忌,建议转到胸外科做胸腔镜手术将肿瘤切除。

患者转到胸外科后,经过详细的术前准备和讨论,6月8日上午,由胸外科吴建军副主任医师与何朝坤医师对患者实施了全麻下经单孔胸腔镜行右肺下叶切除加系统淋巴结清扫。整个手术历时190分钟,成功切除了患者病变的肺叶,并对癌细胞可能转移的淋巴进行了清扫。

切口仅有4厘米

手术完成后,患者恢复情况较好,各项指标正常,已于近日出院。
据主刀医生吴建军副主任介绍:目前我院胸外科已常规开展以胸腔镜下食管癌、肺癌、纵隔肿瘤切除等为技术代表的手术业务。此次进行的“单孔胸腔镜”相对“多孔胸腔镜”手术更加“微创”。虽然只有一根腔镜导致手术器械进入的通道宽度有限,操作难度也更大,但因具有患者术后疼痛较轻、住院时间短等优势,而并不增加医疗费用,为同行人士广为认同并得到病人的青睐。此项技术的开展使我院普胸专业在川东北地区继续保持在技术领先行列。同时也提醒广大病友,我市近年肺癌的发病率呈逐步上升趋势,要重视体检,善用薄层CT及早发现肺部结节,并到胸外科就诊,根据具体情况制定合理规范的诊疗计划,肺癌一旦进展到中晚期,其治疗难度加大,远期疗效降低,将严重影响患者的生活质量和寿命。
咨询电话:0817-6232861
扫一扫在手机打开当前页